31 Mar, 2026
Understanding the Evolution of Modern Dental Care Dental anxiety has long been recognised as a significant barrier preventing countless individuals from seeking essential oral healthcare. For decades, the mere thought…
Understanding the Connection Between Mind and Mouth The relationship between psychological stress and dental health has garnered significant attention in recent years, particularly when examining the success rates of dental…
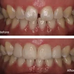
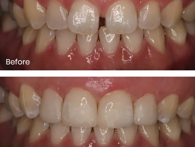
Understanding Modern Dental Aesthetics Dental care has evolved significantly over the years, with cosmetic dentistry becoming increasingly sophisticated in its approach to enhancing smiles. Among the various treatments available, veneers…
Understanding Modern Dental Care The evolution of dental care has witnessed a remarkable shift towards a more holistic approach, particularly in the realm of emotional dentistry and its positive impact…
Holistic living is about finding balance in the mind, body, and your overall wellbeing. This happens when you make thoughtful selections every day. You can use natural things in your…

Exploring Holistapet.com to Discover the Benefits of CBD for Pets

You, as a pet owner, are surely aware of the amazing benefits that CBD may provide to pets. The market for holistic pet care is thriving, but Holistapet.com is the industry leader. In this piece, we’ll walk you through the website’s virtual aisles, where you’ll find a plethora of CBD products crafted to match your pet’s individual requirements. So kick back, relax, and get ready for a virtual trip to visit website Holistapet.com, the one-stop shop for your pet’s health and happiness.

Looking Around on Holistapet.com:

When you first visit Holistapet.com, you’ll notice the sleek design and intuitive navigation. If you’re unfamiliar with CBD for dogs, you may buy with confidence thanks to the site’s user-friendly layout. Through the use of drop-down menus like “CBD for Dogs,” “CBD for Cats,” and “CBD Bundles,” it is simple to locate items that can help with common pet problems including anxiety, discomfort, and general health.

Holistapet.com is proud of its extensive catalog of CBD products, which includes something for every type of pet and every type of need. Everything from pure CBD oil tinctures to CBD-infused candies and pills is available. Specialized formulations, such as “Holistapet Stress & Anxiety Relief” and “Holistapet Joint & Mobility Care,” are available to give targeted remedies for your pet’s health issues. All of the CBD items on the site are produced with hemp grown in the USA on certified organic farms. Tests for efficacy, purity, and safety are conducted by independent laboratories on every batch. This commitment to openness and quality should put your mind at ease while you shop for your pet.

As our time here at Holistapet.com comes to a close, we can only hope that you left feeling as optimistic as we do about the potential benefits of CBD for your pets. If your pet is suffering from stress or pain, or if you just think it might use a little boost, check out Holistapet.com.

So, there’s no need to hold off. Try to visit website Holistapet.com now to learn more about the CBD products they provide and to get started on a health path that might make a huge impact in the quality of life for your pet. You want the best for your animal buddy, and Holistapet.com can help you get it. To learn more about how CBD can improve your pet’s health, visit the website right away.

2 mins read

Into the Labyrinth of the Corporation: My Quest for Long-Term Success

Entering the corporate world is like walking into a fascinating maze. When I first set out on my path as a business owner, I had no idea that the corporate world would turn out to be a dynamic arena where expansion was the ultimate reward. During my ups and downs, I’ve learned strategies that have turned my quest for achievement into a journey of long-term development. Come along as I take you through this maze using my own personal experiences as guides.

Focusing on Making the Client Happy

Think of it this way: you’re not just making a sale, you’re creating a memorable moment. As I’ve been more involved in the business world, I’ve learned that consumers are the ones who ultimately determine a company’s fate. Their wants, comments, and inclinations serve as beacons. Spending time getting to know my audience has helped me improve my goods and build a dedicated following. Go into your clients’ heads, and you’ll discover a goldmine of long-term success.

business

The “Eureka!” Moment of Creativity

Creativity isn’t some abstract concept; it’s an experience you have every day. Eureka! moments have dotted my journey; they sprang from an environment that encouraged original thought. I’ve seen world-changing ideas take form in spaces where input is encouraged from all directions. Innovation has been the compass that has helped me navigate the twists and turns of the business world, whether it be through the introduction of new products or the exploration of unknown areas.

Together We Will Win

A cohesive group is at the center of every triumphant tale. As I twisted and turned, I realized that teamwork is the key to exponential development. By breaking down barriers and building rapport among the team, we were able to come up with ideas that I would have never thought of on my own. Together, we’ve discovered uncharted territory and conquered seemingly impossible obstacles.

Sustainable growth is not simply a destination; it is a trip of self-discovery and change, and as I think on my own journey through the corporate maze, I am reminded of this. Every single one of these developments, from customer relationship building to alliance forming to sustainability advocacy, has been eye-opening. When you set out on your own journey, remember that the maze is not an obstacle to be conquered but rather a rich tapestry of possibilities. If you have the correct strategy and an adventurous mindset, you can find your way through this maze and achieve lasting success.

2 mins read

The Ultimate Checklist for Choosing the Perfect Used Car

When it comes to purchasing a used car, making the right choice can be a challenging task. The used car market is vast, offering a wide range of options, but not all vehicles are created equal. To ensure you make a wise investment and drive home in the perfect used car, follow this ultimate checklist that covers everything from initial research to final negotiations.

Purchasing a used car can save you a substantial amount of money, but it’s important to be thorough in your research and assessments to avoid potential pitfalls down the road.

Set Your Budget

Determine how much you’re willing to spend on a used car, including additional costs like insurance, taxes, and potential repairs.

Determine Your Needs

Consider your daily commute, family size, and specific features you require in a vehicle. This will help narrow down your choices.

Auto

Research Makes and Models

Explore different car makes and models that align with your needs. Look for reliability, fuel efficiency, and reviews from other owners.

Vehicle History Report

Request a vehicle history report to learn about the car’s past accidents, ownership history, and title status.

Evaluate Mileage

While lower mileage is generally better, focus on how the car was driven and maintained. Regular maintenance matters more than just mileage.

Inspect Exterior and Interior

Thoroughly inspect the car’s exterior for any signs of damage or rust. Inside, check for wear and tear, as well as the functionality of features.

Check Under the Hood

If you’re not knowledgeable, bring a mechanic or a knowledgeable friend to inspect the engine, transmission, and other critical components.

Test Drive Thoroughly

Take the car for a test drive on different road types. Pay attention to how it handles, brakes, accelerates, and any unusual noises.

Get a Pre-Purchase Inspection

Invest in a professional pre-purchase inspection to identify any hidden issues that might not be obvious during a regular inspection.

Consider Ownership Costs

Factor in costs like insurance, fuel, maintenance, and potential repairs to get a clear picture of the overall cost of ownership.

Negotiate the Price

Use your research to negotiate the price with the seller. Be prepared to walk away if the deal doesn’t meet your expectations.

Review Legal Documents

Carefully review all legal documents, including the title, registration, and warranty information if applicable.

Finalize the Deal

Once you’re satisfied with the price and all paperwork, finalize the deal. Make sure you have the necessary paperwork for registration.

2 mins read

What Are The Benefits Of Using Vibrator?

Well, some years back sex toys were considered to be a taboo but now times have changed and there are many reasons why people have started using them. Sex toys have gained popularity over the years and it has plus points as well. In this article, we are going to see the topmost reasons as to why one must use sex toys.

What are the reasons everyone needs to use sex toys?

  • Women need this for better stimulation: When it comes to the pleasure of a woman she needs an appropriate mental and clitoral stimulation. This might be a tough thing for many men out there and thus most women fake their orgasm. But using sex toys can give you the proper assistance and thus it is highly recommended.
  • It helps you discuss your needs and desires better: When your partner and you start using sex toys it will help you both to discuss more openly about your wants in bed. Also, having this conversation is very important if you are looking out to pleasing your partner the most in bed. This will help you develop a better understanding of one another and will also be a great factor in your performance.

Using Vibrator

  • They know the pleasure points: Sex toys have been specifically designed to help in your sexual pleasures. It might be very difficult to stimulate both your mind as well as your body at one time and this is exactly where your sex toy will be beneficial. All these sex toys that are available out there are made in a way so that they pleasure the right points and reduce your pressure.
  • Helps in spicing up your sex life as well: Many times, couples who have been together for a very long time start losing their spark. So, to spice up their intimacy level and relationship sex toys tend to be a great option. There are a great variety of sex toys that are available out there. Some of the things include paddles, ropes, anal plugs, clamps, Vibrador, handcuffs and so much more.
2 mins read

7 Thoughtful Christmas Gifts for Your Parents

It can be difficult to find the perfect Christmas gift for your parents, especially if they seem to have everything they need. However, with a little thoughtfulness, you can find a gift that they will truly appreciate. Here are 10 thoughtful Christmas gifts for your parents:

https://www.dadshop.com.au/christmas-gift-guide

  1. A personalized mug or ornament: A mug or ornament with your parents’ names and a special message from you will be a gift that they can use and cherish for years to come.
  2. A gift certificate to their favorite restaurant: Treat your parents to a nice dinner out at their favorite restaurant. They’ll appreciate the break from cooking, and you can enjoy some quality time together.
  3. A basket of their favorite things: Fill a basket with your parents’ favorite things, like snacks, candy, or a special type of coffee or tea. They’ll appreciate the thoughtfulness, and it will be a gift they can enjoy immediately.
  4. A subscription to their favorite magazine: A subscription to your parents’ favorite magazine will ensure that they have something to look forward to each month. They’ll appreciate your thought fullness, and it’s a gift that keeps on giving.
  5. A gift certificate for a day of pampering: Your parents deserve a day of relaxation and pampering. Give them a gift certificate for a day at a spa or a local salon. They’ll love being able to take some time for themselves and feel refreshed and rejuvenated. If you need more detail, check out here
    https://www.dadshop.com.au/christmas-gift-guide
    .
  6. A custom-made photo book: A photo book filled with pictures of your parents, their family, and their friends will be a gift they can treasure forever. They’ll love looking through the pages and remembering all the special people and moments in their life.
  7. A gift basket of their favorite wines: If your parents enjoy a glass of wine, put together a gift basket of their favorite varietals. They’ll appreciate your knowledge of their taste, and it’s a gift they can enjoy over the holidays.
2 mins read

The Role of Sleep Dentistry in Transforming Patient Care

Understanding the Evolution of Modern Dental Care

Dental anxiety has long been recognised as a significant barrier preventing countless individuals from seeking essential oral healthcare. For decades, the mere thought of a dental procedure has triggered overwhelming fear in patients, often leading to delayed treatments and deteriorating oral health. However, the landscape of dental care has undergone a remarkable transformation with the advent of sleep dentistry, offering a revolutionary approach that prioritises patient comfort whilst maintaining high standards of clinical care.

Sleep dentistry, also known as sedation dentistry, represents a paradigm shift in how dental professionals, such as a dentist Port Macquarie, might approach patient care. This innovative methodology enables practitioners to perform comprehensive treatments whilst patients remain in a relaxed, comfortable state, fundamentally altering the traditional dental experience. The technique has gained considerable recognition across the dental community, with practitioners worldwide adopting these methods to enhance patient outcomes and satisfaction.

The Science Behind Sleep Dentistry Techniques

The foundation of sleep dentistry rests upon carefully administered sedation protocols that allow patients to undergo dental procedures without experiencing the stress and discomfort traditionally associated with dental visits. Understanding the various levels of sedation available helps patients make informed decisions about their dental care options.

Types of Sedation Available

Modern sleep dentistry encompasses several sedation options, each tailored to meet specific patient needs and procedural requirements. Minimal sedation maintains patient consciousness whilst promoting relaxation, moderate sedation allows patients to respond to verbal commands despite feeling drowsy, and deep sedation places patients on the edge of consciousness whilst maintaining their ability to be awakened if necessary.

The selection of appropriate sedation levels depends upon various factors, including the complexity of the procedure, the patient’s medical history, and individual anxiety levels. Dental professionals conduct thorough assessments before recommending suitable sedation options, ensuring patient safety remains paramount throughout the treatment process.

Transforming Patient Experiences Across Demographics

Sleep dentistry has proven particularly beneficial for patients with dental phobias, special needs individuals, and those requiring extensive dental work. The approach enables dental practices and clinics worldwide to accommodate patients who previously avoided dental care due to anxiety or physical discomfort.

Considering the numerous advantages of sedation dentistry reveals how this approach addresses multiple patient concerns simultaneously, creating a more inclusive healthcare environment that welcomes individuals regardless of their anxiety levels or previous dental experiences.

Benefits for Complex Procedures

Lengthy dental procedures that traditionally required multiple appointments can now be completed in single sessions through sleep dentistry techniques. This consolidation proves particularly advantageous for patients with busy schedules or those travelling considerable distances for specialised care. The approach allows dental professionals to work more efficiently whilst ensuring patient comfort throughout extended treatment periods.

Patients undergoing comprehensive smile makeovers, multiple extractions, or extensive restorative work find sleep dentistry invaluable in managing both physical discomfort and psychological stress. The technique enables practitioners to focus entirely on delivering precise clinical outcomes without interruptions caused by patient anxiety or discomfort.

Safety Protocols and Professional Standards

The implementation of sleep dentistry requires rigorous adherence to established safety protocols and continuous monitoring throughout procedures. Dental professionals utilising sedation techniques undergo specialised training to ensure patient wellbeing remains the primary consideration during all treatments.

Modern monitoring equipment tracks vital signs continuously, allowing immediate response to any changes in patient condition. Emergency protocols remain in place, with reversal agents readily available should the need arise. These comprehensive safety measures have contributed to the widespread acceptance of sleep dentistry within mainstream dental practice.

Patient Selection and Assessment

Thorough pre-treatment assessments determine patient suitability for various sedation options. Medical history reviews, current medications, and individual risk factors all influence sedation recommendations. Comprehensive information about sleep dentistry procedures helps patients understand what to expect during their treatment journey.

Age considerations, pregnancy status, and existing medical conditions may influence sedation choices or contraindicate certain approaches entirely. This careful screening process ensures optimal outcomes whilst minimising potential complications.

The Future of Comfortable Dental Care

Sleep dentistry continues to evolve with advancing technology and refined techniques. Research into new sedation agents and delivery methods promises even greater patient comfort and safety in future applications. The integration of digital monitoring systems and artificial intelligence may further enhance the precision and safety of sedation protocols.

The growing acceptance of sleep dentistry among both patients and practitioners suggests this approach will become increasingly commonplace in dental practices worldwide. As more individuals discover the benefits of anxiety-free dental care, the traditional barriers to oral healthcare continue to diminish, ultimately leading to improved population oral health outcomes and enhanced quality of life for countless patients.

Any surgical or invasive procedure carries risks. Before proceeding, you should seek a second opinion from an appropriately qualified health practitioner.

5 mins read

Exploring the Impact of Stress on Dental Implant Success

Understanding the Connection Between Mind and Mouth

The relationship between psychological stress and dental health has garnered significant attention in recent years, particularly when examining the success rates of dental procedures. Dental implants Brentwood, whilst representing one of the most successful tooth replacement options available, are not immune to the effects of stress on the human body. Research suggests that elevated stress levels can substantially influence the healing process, potentially compromising the integration of implants with surrounding bone tissue.

When patients undergo dental implant procedures, their bodies initiate a complex healing response that requires optimal conditions for success. Stress, however, can disrupt this delicate process through various physiological mechanisms. The body’s stress response system releases cortisol and other hormones that can interfere with cellular repair, immune function, and blood circulation—all crucial elements for successful implant integration.

The Science Behind Stress-Related Complications

Scientific studies have identified several ways in which stress impacts dental implant outcomes. Chronic stress suppresses the immune system, making patients more susceptible to infections around the implant site. Additionally, stress can reduce blood flow to healing tissues, slowing the osseointegration process whereby the implant fuses with the jawbone.

Patients considering dental implants should be aware that stress can also manifest in behavioural changes that negatively affect implant success. These may include poor oral hygiene habits, teeth grinding (bruxism), smoking, or neglecting post-operative care instructions.

Hormonal Influences on Healing

The endocrine system plays a pivotal role in how stress affects dental implant success. Elevated cortisol levels, characteristic of chronic stress, can impair collagen synthesis and bone formation. This hormonal imbalance creates an environment less conducive to the cellular activities required for proper implant integration. Furthermore, stress hormones can increase inflammation markers, potentially prolonging the healing period and increasing the risk of complications.

Research has demonstrated that patients with consistently high stress levels show delayed wound healing and increased susceptibility to post-surgical complications. Understanding how stress affects the implant healing process has become increasingly important for dental professionals when planning treatment protocols and setting realistic expectations for patients.

Behavioural Factors and Treatment Compliance

Beyond the physiological effects, stress significantly influences patient behaviour during the critical healing period following implant placement. Highly stressed individuals often exhibit poor adherence to post-operative care instructions, which can dramatically impact treatment outcomes. This includes inadequate oral hygiene maintenance, irregular follow-up appointments, and failure to avoid certain foods or activities that could compromise healing.

Bruxism, or teeth grinding, represents another stress-related behaviour that poses particular risks to dental implants. The excessive forces generated during grinding can prevent proper osseointegration or even cause implant failure after successful integration. Many patients remain unaware of their nocturnal grinding habits, making stress management an essential component of comprehensive implant care.

Strategies for Optimising Implant Success

Dental professionals increasingly recognise the importance of addressing stress factors when planning implant treatments. Pre-operative stress assessment allows clinicians to identify high-risk patients who may benefit from additional support or modified treatment protocols. Some practices now incorporate stress reduction techniques into their patient care programmes, including relaxation exercises and anxiety management strategies.

Timing considerations also play a crucial role in implant success for stressed patients. Managing stress and anxiety during implant recovery often involves scheduling procedures during periods of relatively low stress when possible, and ensuring patients have adequate social support systems in place.

Holistic Approaches to Patient Care

Modern dental practices are adopting more holistic approaches that consider the whole patient rather than focusing solely on the technical aspects of implant placement. This includes screening for stress-related factors, providing comprehensive pre-operative counselling, and establishing realistic expectations about healing timelines for patients experiencing elevated stress levels.

Some clinicians recommend stress management techniques such as meditation, regular exercise, or professional counselling as adjunctive therapies to support optimal healing. Comprehensive approaches to implant success often incorporate these lifestyle factors into treatment planning discussions.

Looking Forward: The Future of Stress-Informed Dental Care

The growing body of evidence linking stress to dental implant outcomes suggests that future treatment protocols will increasingly incorporate psychological wellbeing assessments. This evolution represents a positive shift towards more personalised, patient-centred care that acknowledges the complex interplay between mental health and oral health outcomes, ultimately leading to improved success rates and patient satisfaction.

4 mins read